ラミネートベニアによる審美修復(20代 女性)|さいたま市緑区 浦和美園 東浦和 東川口近くの歯医者|あきデンタルクリニック大門

初診の方は【初診患者様の診療の流れ>>】を必ずお読みください

キッズコーナー

駐車場8台

国際興業バス武蔵野学院入口徒歩1分

削る範囲を最小限抑えた審美歯科

ネット予約

English French Speaking Dentist

048-799-3218

さいたま市緑区大門1746(浦和美園 東浦和 東川口近く)

インビザラインGO

プライムスキャン

ラミネートベニアによる審美修復(20代 女性)

ラミネートベニアによる審美修復(20代 女性)

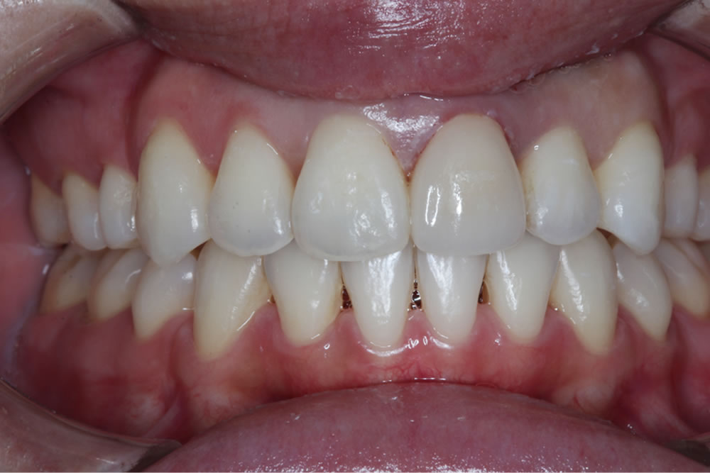
治療前

治療前

治療後

治療後

左上1番の歯は、子供の頃にぶつけて欠けてしまい、破折片をレジンで接着されていました。マイクロスコープを使用したラミネートベニアで修復しました。

年齢 20代 男性
治療回数 5回 仮歯作成(※ベニアの最終形態を決定)→本印象→セット
治療費 154,000円(税込)
リスク・注意点等 ・過度な力がかかると欠けたりする場合がございます
・場所によっては適応できない場合がございます

トップへ戻る