なるべく削らない治療
このページの目次
早期発見・早期治療を可能にする対策

虫歯は一日にしてならずです。日々少しずつ感染範囲を広げ、やがて痛みなどの自覚症状が現れます。当院では予防はもちろんですが、早期発見に努め、削る歯質を最小限に抑えるため、以下のような対策を実施しています。
う蝕検知液で見落とし防止

う蝕検知液を歯に塗布する事で、虫歯感染部位を着色してくれます。目で確認する事が可能となりますので、見落としがちな細部の虫歯にも、いち早く気付く事が出来ます。さらに、歯を削る場合にも健康な歯質と判別が出来るため、的確な処置によって削る量を最小限に抑える事が出来ます。
ダイアグノデントによる検査

初期症状の虫歯や、歯の内部で進む虫歯は表面上では、変化に気付く事が難しく発見が遅れる事があります。そのような事がないように、当院では特殊なレーザーを照射して虫歯を発見出来るダイアグノデントと言う機器を使用して、歯の内側や、細部で進行する虫歯の早期発見に努めています。
定期検診の推奨

お口の違和感や初期症状の疾患を発見するには、定期検診を受診して頂かなければなりません。患者様自身が痛みや違和感を感じる程の自覚症状がある場合には、想像以上に症状が悪化している事もございます。痛みのない時からの歯科医院利用を習慣にして、早期発見、早期治療に努め、健康な状態を維持して行きましょう。
削る処置を最小限に抑えるための対策
当院では歯を削る事になった場合にも様々な取り組みを行い、可能な限り健康な歯質を残す事にこだわって治療を実施しております。
拡大視野下での精密な処置

マイクロスコープや歯科拡大鏡を用いた拡大視野の下で精密な切削を心がけております。肉眼の約数倍~最大20倍まで視野を拡大し、細部の状態を目でしっかり確認しながら、精度の高い処置と見落とし防止に努めています。
MTAによる虫歯治療

殺菌性効果のあるMTAセメントを使用した化学的なアプローチで虫歯の治療も行っています。虫歯をMTAセメントで覆う事で、虫歯菌を不活性化させ、最小限の切削で治療が可能となります。
エキスカベーターで繊細な処置

虫歯に感染している歯質は、健康な歯質に比べて柔らかくなるため、ドリルでの処置では削り過ぎてしまう事があります。少しでも、健康な歯質を残すため、最終的な切削はエキスカベーターと言う耳かきのような器具を使用します。手動ですので虫歯感染歯質のみを丁寧に削り取ることが出来ます。
ダイレクトボンディング

当院では歯を削った後の修復方法に、歯科用の樹脂を盛って形を形成するダイレクトボンディング法をおすすめしています。通常のつめ物に比べ、削る量を最小限に抑えて修復が可能な事や、型取りなどの工程がないため、その日の内に治療を終えることができます。
当院で実施したダイレクトボンディングによる審美修復症例
あきデンタルクリニック大門では、患者様の大切な歯を少しでも多く残すことを心がけ、治療を行っております。そのため、虫歯治療の際には必要最低限の切削で修復が可能な「ダイレクトボンディング法」をおすすめしております。当院が実施したダイレクトボンディングによる審美修復の症例をご紹介します。
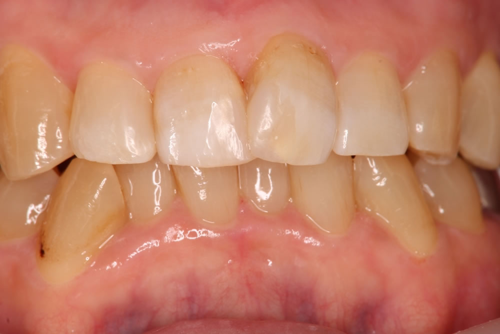
治療前

治療後

上の前歯3本(右上1番・2番目/左上1番目)を自分の歯のような自然な歯並びで修復をご希望の患者様に、ダイレクトボンディング法で審美修復を行いました。歯の切削を最小限に抑えた上、天然歯と調和のとれた自然な仕上がりとなり、患者様にも満足いただけました。
【年齢/性別】40代 男性
【費用】右上1番目/左上1番目:各49,500円(税込) 右上2番目:38,500円(税込)
【治療回数】3回
当院こだわりのつめ物・かぶせ物治療の詳細はこちらよりご覧下さい。
さいたま市緑区にてできるだけ歯を削らない治療をお探しの方へ

あきデンタルクリニック大門では、このように患者様の大切な財産である歯を少しでも多く残すため、可能なかぎり歯を削らない低侵襲な処置に努めています。歯は一度削ると元には戻りません。予防や定期検診をしっかり行い、自分の歯でいつまでも食事が出来るよう努めましょう!さいたま市緑区にて、できるだけ削らない歯科治療をお探しの際には、当院までお気軽にご相談下さい。




